Office-based teeth whitening is a procedure that involves applying a special solution to the teeth while protecting the gums. It can be performed with a special light source such as a laser or a high-intensity light source, depending on the dentist's preference. This light source is used to whiten the teeth.
The procedure typically takes about 45 minutes to 1 hour, and multiple sessions may be necessary for some individuals. After the office-based teeth whitening procedure, the teeth will appear several shades whiter.
Teeth whitening is a method of removing discolorations inside the teeth using special solutions and techniques. It is different from teeth cleaning, which is done to remove stains on the surface of the teeth.
Factors that can cause teeth discoloration include frequent consumption of tea and coffee, smoking, and certain food and drinks that contain colorants. Unfortunately, aging is also a factor that can cause teeth to yellow. As we age, our teeth become more discolored, cracked, and rough, which makes them more susceptible to staining.
If teeth whitening is not sufficient, porcelain veneers or bonding can be applied to the teeth to improve their appearance along with the whitening procedure.
* laser teeth whitening teeth cleaning and whitening gum bleaching
hiper pigmentation
Gum bleaching is a cosmetic dental procedure that is used to lighten the color of the gums. It is typically performed to improve the appearance of the gums and to create a more uniform look in the mouth.
There are several different methods that can be used to bleach the gums, including laser gum bleaching, mechanical and chemical bleaching. Laser gum bleaching involves the use of a laser to remove pigment from the gums, while chemical bleaching involves the use of a bleaching agent, such as hydrogen peroxide, to lighten the color of the gums.
Gum bleaching is usually performed by a dental professional, such as a dentist or dental hygienist. The procedure is typically quick and relatively painless, and most people are able to return to their normal activities immediately after the treatment.
*perfect smile, gum whitening, black point on dental gum

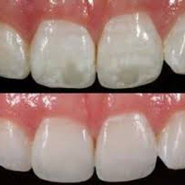
Conventional treatment options available to treat enamel Opacitiesinclude non-invasive and invasive approaches. Resin infiltration technique has been used in cases of enamel discoloration arising from developmental defects (hypocalcification, fluorosis, and molar-incisive hypomineralization) or white spot lesions (WSL) as a minimally invasive treatment that aims to mask enamel discolorations.
Apart from the superficial lesion which was infiltrating after surface erosion with Icon etch (DMG,Germany), deep and mixed lesions are eventually treated with a combined use of microabrasion followed by infiltration of the lesion using Icon (DMG,Germany). During a 30 minutes appointment to correct the aesthetic defect.
*white spots on tooth, white points tooth
Copyright © 2023 - All Rights Reserved.